Все слышали и знают жуткие истории о том, что человек может проглотить нечаянно или даже по собственному желанию предметы, которые вовсе не предназначены для этого. В большинстве случаев эти истории рассказывают про детей, но мы докажем, что и взрослые внесли свою лепту, причем немалую.
Вот буквально несколько примеров тех вещей, которые были обнаружены в человеческом желудке.
Одна женщина в Китае проглотила 20 штук камней. Спросите зачем? Она поссорилась со своим молодым человеком, и это показалось ей единственно верным способом завершить вечер.
Да, глотать столовое серебро — дорогое удовольствие. А как насчет 78 серебряных ложек, которые проглотила 52-летняя женщина в Нидерландах?
В одну из китайских больниц пришел мужчина с жалобами на боли в животе. Врачи сделали рентгеновский снимок и обнаружили стеклянную бутылку в желудке.
Вы когда-нибудь держали в зубах гвоздь, когда руки заняты молотком? Вот вам снимок мужчины из Китая, который во время работы закашлялся.
Мы вас предупреждали, не смотрите, если вы только что сели обедать.
Однажды у 18-летней девушки был удален из желудка комок шерсти весом 4,5 кг.
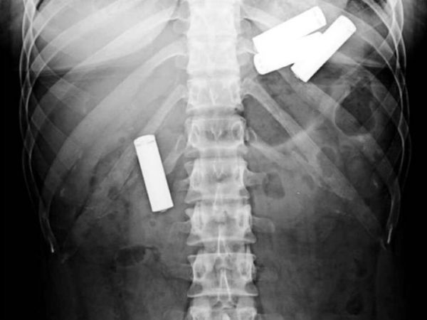
Вот батарейки, пожалуй, глотают только дети. Рентгеновский снимок 13-месячного малыша.
Француз Мишель Лотито прославился тем, что поедал несъедобные предметы, его даже называли Месьё Съешьвсё. В его рацион в свое время вошли крылья самолета, велосипеды, тележки из супермаркета, телевизоры и много чего другого.
Рентгеновский снимок террориста — он проглотил гранату. Правда, непонятно, как он собирался взрывать ее…
Один маленький мальчик съедал по одной части игрушки с магнитом за раз. Когда наконец все части игрушки оказались в желудке мальчика, они соединились.
А так выглядит снимок человека, который проглотил немалое количество наркотиков, чтобы перевезти их контрабандой через границу.
Некоторые заключенные готовы проглотить все что угодно, лишь бы выбраться из тюрьмы, например, в больницу — даже пружины от матраса.
Сейчас никого не удивишь блюдом из угря. Но не все готовы съесть его, пока он все еще живой и шевелится.
Родители, внимательнее следите за своими чадами. Ведь они могут проглотить все, что им под руку попадется, — даже английскую булавку.
Многие мужчины хотят быть романтиками и сделать предложение своей половинке каким-нибудь необычным образом. И многие используют, к примеру, еду, чтобы спрятать там сюрприз в виде кольца. Так вот, мужчины, делайте предложение до того, как ваша суженая решит попробовать это блюдо с сюрпризом.
Одна женщина не нашла дома зубочисток после обеда и решила использовать ножницы.
А еще заключенные глотают сотовые телефоны.
62-летний мужчина проглотил монеты общей стоимостью 650 долларов, а также несколько ожерелий и браслетов.
Пожалуй, самый странный и даже неприятный случай в нашей подборке — у мужчины обнаружили частично сформировавшийся плод в желудке.
Заключенный в Пакистане проглотил электрическую лампочку. Однако, когда врачи извлекли ее, мужчина был шокирован не меньше, чем медперсонал.
В некоторых районах Китая люди верят, что поедание живых существ поможет с пищеварением. Один китаец занимается этим на протяжении уже 40 лет, и с пищеварением у него все в полном порядке.





