Пока все его одноклассники грызли гранит науки, школьник решил пойти по стопам супергероев из кинематографической вселенной Marvel.
Необычный случай был описан в отчете Национального центра биотехнологической информации, в котором подробно описывались травмы, полученные подростком в Индии, после того как он намеренно ввел ртуть в свой организм.
Следы от инъекций ртутью
А началось все с того, что в местную больницу поступил пацан с многочисленными незаживающими ранами на левой руке. Врачи сначала подумали, что школьник подсел на наркотики, но потом пацан признался.
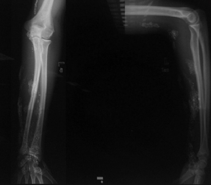
Рентгеновский снимок (переднезадний и боковой виды), показывающий множественные подкожные отложения рентгеноопаски
Оказывается, он ярый фанат супергероев и очень мечтал стать одним из них, но вместо того чтобы накачивать мышечную массу или развивать супер-мозг он решил поставить на себе эксперимент.
Купил в аптеке три ртутных градусника и начал постепенно вводить под кожу ртуть, в надежде, что она даст ему суперспособности Росомахи из "Людей Икс".
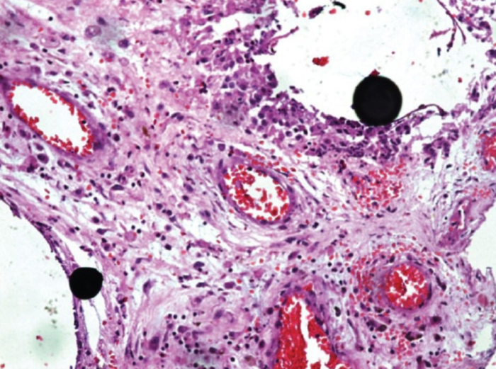
Окрашенный гематоксилином и эозином срез (× 10), показывающий капли ртути в кистозных пространствах, окруженных клетками хронического воспаления
Также пацан ловил пауков и заставлял их себя кусать, для того чтобы стать Человеком-Пауком. Естественно, сверхспособности у него не появились, а вот серьезное отравление чудила себе заработал.





